Après l’introduction faite par moi, sur le contexte de disease mongering (voir articles) et surmédicalisation, et les liens vers les articles abordant ces questions – effets indésirables des bisphosphonates tels que ostéonécrose de la mâchoire, fractures atypiques, douleurs musculaires et articulaires, etc. -, je cite l’information donnée par les agences canadienne, française, européenne du médicament quant aux fractures atypiques du fémur comme effet indésirable de classe de tous les bisphosphonates. Avec des mises à jour.
Les principaux médicaments prescrits en (« prévention » de) l’ostéoporose sont : l’acide alendronique (Fosamax) l’acide ibandronique ou ibandronate (Bonviva, Bondronat), l’acide pamidronique ou pamidronate (Aredia, Merck-Pamidronate), l’acide clodronique ou clodronate (Bonefos, Clastoban, Lytos, Ostac), l’acide étidronique ou étidronate (Didronel, Osteodidronel), l’acide risédronique ou risédronate (Actonel), l’acide tiludronique ou tiludronate (Skelid), l’acide zolédronique ou zolédronate (Aclasta, Zométa, Reclast).
Les résumés des caractéristiques du produit (RCP) et les notices seront modifiés pour intégrer cet effet. Pour une fois, l’information donnée au public par les Européens est un peu plus détaillée ; cela dit, ce sont les Nord-Américains qui ont en premier abordé ouvertement l’impact de cet effet indésirable. Lisez les références rassemblées dans un article paru en 2010 dans le JAMA (Journal of the American Medical Association) sous le titre « Studies Probe Possible Link Between Bisphosphonates and Femoral Fractures« . JAMA 2010;303(18):1795-1796. En français : Une étude vérifie le lien possible entre les bisphosphonates et des fractures du fémur.

**
Surmédicalisation et disease mongering
Je rappelle le contexte de surmédicalisation et de disease mongering dans lequel le sens du « dépistage » et de la « prévention » a été déformé, y compris pour ce qui est de la densité minérale osseuse et sa diminution physiologique au cours du vieillissement.
Les femmes sont les premières cibles de la surmédicalisation et du disease mongering, dont j’ai souvent décrit les formes les plus utilisées (voir la liste de catégories à gauche de la page).
- présenter un facteur de risque comme une maladie,
- redéfinir les seuils de « normalité » de certains paramètres (cholestérol, tension, densité osseuse…),
- redéfinir des maladies en élargissant les critères de définition (trouble bipolaire…) ou en inventer de nouvelles (vaguement appelés « troubles »…),
- présenter comme des maladies des phénomènes physiologiques tels que les conséquences du vieillissement…
Tout cela pouvant bien entendu être « prévenu » grâce aux produits de l’industrie pharmaceutique ou des médecines alternatives et autres méthodes (car le schéma de pensée est exactement le même…). La « prévention » tous azimuts est devenue une sorte de mode, et la médecine est dévoyée progressivement, depuis son rôle de traitement de maladies réelles vers un rôle de prévention ( « médecine préventive ») mal comprise, agressive, présomptueuse (cf. David Sackett) et prescriptive en un sens qui se veut éthique, sortant ainsi du domaine de validité et de légitimité de la médecine.
Le phénomène physiologique qu’est la ménopause (et les désagréments qu’elle peut entraîner) est largement exploité par le marketing de tous ceux – vendeurs (médecins, pharmaciens et guérisseurs de toute sorte) et producteurs (industriels et artisans de toute sorte) – qui veulent du bien à leur santé financière. Leur tâche est largement facilitée par le discours idéologique ambiant quant aux femmes (jeunisme, apparence / paraître, performance dans tous les rôles à la fois, etc.). Avoir une bouffée de chaleur, par exemple, c’est comme un constat public d’échec et de mise à l’écart par rapport aux normes socialement valorisées, à l’ « image » de « la » femme internalisées et constituant dès lors une sorte d’injonction inconsciente.
Du traitement hormonal substitutif aux bisphosphonates (en termes de marché dominant)
Depuis que la nocivité du traitement hormonal substitutif de la ménopause a été démontrée – en particulier par l’augmentation du risque de cancer du sein et l’inefficacité en prévention de certaines maladies), le marketing de l’industrie pharmaceutique (et des autres « producteurs » de remèdes homéopathiques, « naturels », etc.) mise de plus en plus sur les médicaments et produits prévenant ou traitant l’ostéoporose. C’est le marché le plus porteur. Les revenus générés par le Fosamax des laboratoires Merck atteignaient 3 milliards de dollars pour la seule année 2007.
Les producteurs de dispositifs médicaux y gagnent aussi, avec les appareils d’ostéodensitométrie, par exemple, et tout le personnel qui entre dans ce réseau (médecins, techniciens…). C’est toute une industrie qui s’organise autour de la médicalisation de la ménopause et en vit fort bien.
Comme dans tous les domaines où sévit le disease mongering, le préfixe « pré » est à la mode, justifié par un discours pseudo-scientifique, car non prouvé selon des critères rationnels, qui dévoie la notion de prévention. On parle ainsi de pré-hypertension, de pré-diabète, etc. Et forcément aussi de pré-ostéoporose, car le terme est plus anxiogène que l’ostéopénie, terme qui n’évoque rien pour la plupart des femmes. Lors de campagnes d’information sur la « maladie », destinées à vendre des médicaments, à pousser à la consommation, les firmes brandissent le risque de fractures, surtout de fractures du col du fémur, parce que la meilleure méthode de marketing est la peur, comme je l’ai souvent dit en parlant du pharmacommerce de la peur.
On incite les femmes à se soumettre à des ostéodensitométries régulières. Le fameux « dépistage » qui fait partie de la « prévention » et est tout aussi positivement connoté dans la vulgate actuelle sur la santé des femmes, à entretenir régulièrement, comme une voiture. On demandera bientôt des autocollants certifiant que la révision annuelle a été faite…
L’image n’est pas exagérée lorsqu’on pense à des initiatives visant à rendre obligatoires certains dépistages, comme je l’ai dit en évoquant la Pologne pour le dépistage du cancer du col de l’utérus, dans un article qui rappelle les problèmes posés par les surdépistages des cancers, les surdiagnostics et les surtraitements et donne une liste de références.
Il y a des protestations pour que l’ostéodensitométrie soit remboursée en toute circonstance par la Sécurité sociale. Et dès qu’une valeur semble un peu plus basse que les seuils admis dans la littérature médicale – qui fixent une « normalité » qui n’a jamais existé, ni ici, ni dans d’autres domaines -, c’est la spirale de la médicamentation qui commence, entre médicaments et remèdes (je pense aux compléments alimentaires qui n’ont jamais fait la preuve de leur efficacité, mais ce n’est pas le sujet de ce billet)… Une médicamentation qui donne aussi des cascades de prescription, à la suite d’un premier effet iatrogène.
J’ai souvent abordé ces questions sous l’angle du disease mongering (invention de maladies, façonnage de maladies, redéfinition de maladies…), mais aussi parlant directement des traitements de l’ostéoporose, qu’ils soient administrés en « prévention » ou lors d’une ostéoporose réelle, dont il faut rappeler encore et encore qu’elle n’est qu’un facteur de risque parmi d’autres. Inutile donc de prolonger l’introduction. Dans ces billets (accessibles en descendant sur cette page), j’ai particulièrement insisté sur les effets indésirables des bisphosphonates, car ce sont les plus vantés, les plus vendus et les plus profitables, en soulignant que tout donnait à penser qu’il s’agit d’effets de classe, ce qui est logique, après tout…
Osténonécrose de la mâchoire, douleurs articulaires et musculaires (parfois sévères et irréversibles), fractures atypiques du fémur et autres effets indésirables viennent détailler une liste trop longue pour un effet (efficacité, utilité, donc rapport bénéfices-risques) qui est toujours contesté.
Mais ces médicaments sont trop profitables pour que l’industrie pharmaceutique et les leaders d’opinion qu’elle paie s’arrêtent à de telles considérations. Rappelons-nous la contestation violente visant le NICE britannique (National Institute for Health and Clinical Excellence), sous prétexte que les recommandations émises par cet organisme – dont le travail d’évaluation du rapport bénéfices-risques et coût-efficacité est souvent donné comme exemple et qui n’a pas d’équivalent en France – préconiseraient un traitement trop tardif et selon des critères trop restrictifs…
Un groupe d’experts grevés de conflits d’intérêts n’a pas hésité à formuler des contre-recommandations de bonne pratique en matière de prévention médicamenteuse des fractures ostéoporotiques. Largement médiatisées. Avec le soutien de plusieurs laboratoires pharmaceutiques, dont Servier, qui commercialise le Protelos (ranelate de strontium). Ils veulent s’en tenir à l’échelle Frax, beaucoup trop vague.
La contestation du NICE est fréquente, et il paie très cher le fait de faire un travail scientifique, selon les critères de l’EBM (evidence-based medicine : médecine fondée sur le niveau de preuve), et non pas selon les intérêts des groupes d’intérêts, ni selon les clichés dominants sur une prévention qui nous amènerait tous à vider les pharmacies pour éviter tous ce qui pourrait nous arriver… D’ailleurs, le NICE a payé cher le refus de recommander le remboursement d’un anticorps monoclonal – autre classe de médicaments qu’il faudrait revoir de fond en comble sous l’angle bénéfices/risques et coût/efficacité – et s’est vu dessaisir d’un certain nombre de prérogatives au profit des 150 trusts de médecins généralistes plus malléables qui décident désormais de l’utilisation et du remboursement des médicaments par le National Health Service.
*
Voilà enfin que les autorités sanitaires admettent officiellement ce risque de fractures atypiques du fémur, désormais intégré au résumé des caractéristiques du produit et aux notices des bisphosphonates, même si elles persistent à dire que le rapport bénéfices-risques reste favorable.
Je cite ci-après l’information de Santé Canada (agence du médicament), puis celle de l’AFSSAPS/ ANSM. Et je conseille, comme pour tous les médicaments, de regarder les notices nord-américaines (celles des Etats-Unis surtout) lorsqu’on cherche des informations, car elles sont toujours beaucoup plus complètes que celles françaises et européennes… En Europe, ce sont les notices britanniques qui semblent les plus performantes.
Je reviendrai sur les bisphosphonates, pour rendre compte de plusieurs informations récentes.
Elena Pasca
**
Le 19 décembre 2011, l’agence du médicament Santé Canada publiait une page d’information sous le titre
« Des bisphosphonates pour traiter l’ostéoporose (Aclasta, Actonel, Didrocal, Fosamax, Fosavance) présentent un risque faible mais accru de fractures inhabituelles du fémur »
« Santé Canada informe les Canadiens de l’examen qu’il vient d’effectuer des bisphosphonates utilisés pour traiter l’ostéoporose, et du risque d’un type rare, mais grave, de fracture du fémur connue sous le nom de fracture atypique du fémur.
Les fractures atypiques du fémur sont très rares. Elles semblent compter pour moins de 1 % de toutes les fractures de la hanche et du fémur. L’examen des données scientifiques qu’a réalisé Santé Canada révèle un risque légèrement accru de ce type de fracture chez les utilisateurs de bisphosphonates.
Bien que le risque soit plus élevé chez les utilisateurs de bisphosphonates, il demeure extrêmement faible. L’avantage d’utiliser les bisphosphonates pour prévenir les fractures associées à l’ostéoporose l’emporte sur le risque de souffrir d’une fracture atypique du fémur.
Les bisphosphonates sont un type de médicaments prescrits pour traiter l’ostéoporose chez les hommes et les femmes postménopausées. Ils sont aussi utilisés comme traitement préventif chez les femmes postménopausées et chez les patients qui prennent des glucocorticoïdes. L’ostéoporose se caractérise par une perte de densité osseuse souvent associée au vieillissement, qui peut entraîner des fractures douloureuses, des incapacités et des déformations. Les bisphosphonates sont depuis longtemps utilisés avec succès dans le traitement et la prévention de l’ostéoporose.
La monographie des bisphosphonates de marque a été révisée pour y ajouter de nouvelles mises en garde et précautions concernant ce risque. Les patients et les professionnels de la santé y sont notamment avisés de surveiller les signes possibles de fracture atypique du fémur. Les mises à jour de l’étiquetage des médicaments génériques suivront. (Consultez la liste ci-après de bisphosphonates vendus au Canada.)
Une fracture atypique du fémur peut survenir avec un impact minimal ou sans impact dans la région de la cuisse, et peut se produire dans les deux jambes à la fois chez la même personne. Une douleur sourde et persistante dans la région de la cuisse, de la hanche ou de l’aine peut indiquer une fracture du fémur. Une fracture partielle peut prendre des semaines ou des mois avant de devenir une fracture complète.
Le patient qui prend ou qui a pris un bisphosphonate, et qui ressent une douleur nouvelle ou inhabituelle dans la région de la hanche, de l’aine ou de la cuisse doit consulter un professionnel de la santé puisqu’il s’agit peut-être d’une fracture atypique du fémur. Le patient ne doit pas arrêter de prendre son bisphosphonate sauf sur l’avis d’un professionnel de la santé. Santé Canada recommande au consommateur de consulter un professionnel de la santé s’il a des questions ou des préoccupations sur l’utilisation de ce produit.
Évidemment, les professionnels de santé doivent s’informer, informer et prendre des mesures dès le moindre signe suspect. Ainsi, ils
doivent examiner le patient qui signale une douleur nouvelle dans la région de la hanche, de la cuisse ou de l’aine pour écarter la possibilité d’une fracture partielle du fémur. Le patient souffrant d’une fracture atypique du fémur doit aussi faire examiner son autre jambe. L’arrêt du traitement par un bisphosphonate doit être envisagé pendant qu’on évalue si l’avantage d’utiliser ce médicament chez un patient l’emporte sur le risque. On rappelle aux professionnels de la santé qu’ils doivent réévaluer périodiquement le besoin de poursuivre le traitement d’un patient par un bisphosphonate. »

*
« Biphosphonates et fractures atypiques du fémur » (AFSSAPS)
C’est le titre du « point d’information » de l’AFSSAPS (devenue ANSM) , paru sur le site de l’agence le 5 décembre. Trois textes sont donnés en lien sur la même page, dont deux parus sur le site de l’EMA (European Medicines Agency).
« L’Agence européenne des médicaments (EMA) a conclu que l’apparition de fractures atypiques du fémur existe pour les patients traités par les médicaments contenant un biphosphonate (alendronate, clodronate, étidronate, ibandronate, pamidronate, risedronate, tiludronate, zolédronate). Cet effet rare identifié dès 2008 pour l’alendronate est donc un effet de classe. Il survient en particulier au cours des traitements prolongés. Il ne remet pas en cause le rapport bénéfices / risques de ces molécules. »
Le Résumé des Caractéristiques du Produit (RCP) et la notice de ces médicaments vont être mis à jour pour prendre en compte cet effet indésirable.
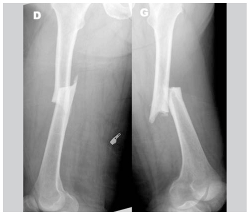
Les fractures atypiques se distinguent des fractures du fémur « classiques » par leur localisation et leurs caractéristiques radiologiques. Ces fractures transverses ou obliques courtes, souvent bilatérales, peuvent survenir sur n’importe quelle partie du fémur entre la partie inférieure du petit trochanter jusqu’au dessus de la zone supracondylienne. Elles surviennent après un traumatisme minime ou même sans traumatisme.
En 2008, lors d’une première évaluation des cas de fractures atypiques chez les patients traités par biphosphonates, le CHMP [Committee for Medicinal Products for Human Use] avait conclu que l’apparition de fractures atypiques rares du fémur existait pour les patients traités par alendronate.
En avril 2011, en raison de nouvelles données issues de rapports post-commercialisation et de la littérature publiée, le CHMP a réexaminé le risque de fractures atypiques du fémur associées aux bisphosphonates en se basant sur les données disponibles issues d’études pré-cliniques, d’essais cliniques, d’études épidémiologiques, de rapports post-commercialisation et de la littérature publiée, et a conclu que les fractures atypiques rares du fémur sont un effet de classe des bisphosphonates.
Le CHMP confirme que les bénéfices des bisphosphonates dans le traitement et la prévention des troubles osseux continuent à l’emporter sur les risques liés à leur utilisation. Cependant il a été considéré qu’une mise en garde sur le risque de fractures fémorales atypiques devait être ajoutée aux informations de prescription pour tous les médicaments contenant un bisphosphonate, autorisés dans l’Union européenne.
EMA: Biphosphonates et fractures atypiques rares du fémur : effet de classe. Communiqué du 27 avril 2011:
« Ce risque de fractures inhabituelles du fémur est donc présent pour tous les médicaments contenant un biphosphonate (alendronate, clodronate, étidronate, ibandronate, pamidronate, risedronate, tiludronate, zolédronate). »
Recommandations aux prescripteurs
- informer leurs patients du risque de survenue de fractures atypiques rares du fémur
- examiner les deux membres inférieurs si une fracture atypique est suspectée
- réévaluer régulièrement la nécessité de poursuivre le traitement, particulièrement après cinq années ou plus d’utilisation
Recommandations aux patients
- consulter leur médecin en cas de douleur, faiblesse ou gêne dans la cuisse, la hanche ou l’aine, ceci pouvant indiquer la possibilité d’une fracture. »
**
Le 27 avril 2011, l’EMA (European Medicines Agency: Agence européenne du médicament) rendait enfin public un communiqué :
Biphosphonates et fractures atypiques rares du fémur : effet de classe
« Après évaluation de toutes les données disponibles, le Comité pour les médicaments à usage humain (CHMP) de l’Agence européenne des médicaments (EMA) a conclu que l’apparition de fractures atypiques rares du fémur après administration de biphosphonates est un effet de classe. Ce risque de fractures inhabituelles du fémur est donc présent pour tous les médicaments contenant un biphosphonate (alendronate, clodronate, étidronate, ibandronate, pamidronate, risedronate, tiludronate, zolédronate).«
Le Comité des Médicaments à Usage Humain (CHMP) de l’Agence Européenne des Médicaments a conclu que les fractures atypiques rares du fémur sont un effet de classe des bisphosphonates.
Il confirme que les bénéfices des bisphosphonates dans le traitement et la prévention des troubles osseux continuent à l’emporter sur leurs risques, mais qu’une mise en garde sur le risque de fractures fémorales atypiques doit être ajoutée aux informations de prescription pour tous les médicaments contenant du bisphosphonate, autorisés dans l’Union européenne. Une telle mise en garde avait déjà été ajoutée dans le résumé des caractéristiques du Produit (RCP) et dans la notice des médicaments contenant de l’alendronate, autorisés en Europe, à la suite d’une réévaluation par le Groupe de travail Pharmacovigilance du CHMP en 2008. Cette mise en garde est à présent exigée pour tous les médicaments contenant un biphosphonate.
« Les prescripteurs de médicaments contenant un bisphosphonate doivent être informés que des fractures atypiques rares du fémur peuvent survenir. Si une fracture atypique est suspectée dans une jambe, l’autre jambe doit aussi être examinée. Les médecins prescrivant ces médicaments pour le traitement de l’ostéoporose doivent régulièrement évaluer la nécessité de poursuivre le traitement, particulièrement après cinq années ou plus d’utilisation.
Les patients prenant des médicaments contenant un bisphosphonate doivent être informés du risque de cette fracture inhabituelle du fémur. Ils doivent contacter leur médecin en cas de douleur, faiblesse ou gêne dans la cuisse, la hanche ou l’aine, ceci pouvant indiquer la possibilité d’une fracture. »
Notes
1. Ce communiqué de presse, ainsi que tous les autres documents s’y rapportant, sont disponibles sur le site internet de l’EMA(link is external). 2. Un document questions-réponses est disponible sur le site internet de l’EMA.
- 1. Ce communiqué de presse, ainsi que tous les autres documents s’y rapportant, sont disponibles sur le site internet de l’EMA(link is external).
- 2. Un document questions-réponses est disponible sur le site internet de l’EMA.
- 3. Les bisphosphonates incluent l’alendronate, le clodronate, l’étidronate, l’ibandronate, le néridronate, le pamidronate, le risédronate, le tiludronate et le zolédronate.
Copyright Elena Pasca



Bonjour
Un petit article de la « revue du praticien », le n°873, bimensuel de janvier 2012, ayant pour intitulé: « l’ostéoporose dévoilé? »
Il signale que « …Amgen et GSK ont présenté les résultats d’une veille internet inédite sur l’ostéoporose… » lors du 24ème congrès de rhumatologie.
Ainsi » 44 blogs, 208 forums » ont été « espionnés » pour avoir un éclairage de la perception de l’ostéoporose sur le net et les patients.
Conclusion de cette étude:
– le défaut d’observance des patients (pour leurs traitements chimiques),
– tentative des patients de se tourner vers d’autres solutions non chimiques,
– confusion pour les produits laitiers et l’ostéoporose.
Conduite à tenir pour les médecins d’après cette veille internet, je cite:
« …Alors que cette maladie cumule sous-diagnostic et mauvaise observance, il apparaît plus que jamais nécessaire que le médecin soit au coeur de la prise en charge ».
Mon interrogation est la suivante, pourquoi les laboratoires font-ils des veilles internet?
Pour mieux vendre leurs médicaments et infléchir l’émergence d’autres possibilités thérapeutiques.
Je ne doute pas que d’autres types d’études du même genre sont faites pour d’autres affections.
Docteur Paulo
J’aimeJ’aime
Bonjour,
Merci pour les remarques et les références.
Si l’on ajoute à cette veille internet les modalités d’interférence directe, c’est-à-dire les forums (associatifs ou dits « indépendants »), les blogs et les réseaux sociaux pilotés plus ou moins directement par l’industrie pharmaceutique et poussant à la médicalisation et à la médicamentation systématique…
Cela participe du ghost management par les laboratoires pharmaceutiques. Et permet effectivement de mieux cibler et ajuster leur marketing. Par l’observation, les firmes savent comment trouver les points névralgiques, à quoi les usagers sont sensibles, etc.
Cordialement
Cordialement
J’aimeJ’aime
Bonjour,
Merci pour cet article clair et bien documenté.
Je ne suis qu’une patiente lambda et non une professionnelle de la médecine et en tant que telle et atteinte d’une ostéoporose avancée à l’âge de 60 ans, je suis comme beaucoup dans l’incapacité de faire la part des vérités, mensonges, semi-vérités dont nous sommes inondés tant par nos médecins, pharmaciens que sur le net
Les effets secondaires indésirables des médicaments censés soigner l’ostéoporose remplissent des centaines de pages sur la toile
Ce qui n’empêche pas les médecins généralistes et rhumatologues de continuer à les prescrire en se moquant ouvertement des études faites par ailleurs dans d’autres pays
Que faire, qui croire, comment se soigner ? traitement ou non, lait et produits laitiers ou non, supplémentation en calcium et vitamine D ou non ???
Bien cordialement
MN Delbeke
J’aimeJ’aime
Bonjour
Connaissez-vous le docteur [NdR: nom effacé par Pharmacritique], médecin canadien. Elle prône l’hormonothérapie féminine bio-identique pour traiter la ménopause. Car pour beaucoup de femmes, les bouffées de chaleur sont handicapantes. C’est grâce à son livre (« tout ce que les femmes doivent savoir sur les hormones », édition : marabout), que j’ai évité le traitement au raloxifène, q’un rhumatologue m’a prescrit. Cette rhumatologue ne m’a absolument pas expliqué comment agissait le raloxifène (evista : nom du médicament). C’est ma gynécologue qui m’a envoyé chez ce médecin. Lorsque je me suis plains de mes bouffées de chaleur, de mes vertiges auprès de ma gynécologue, elle m’a demandé de me tourné vers mon mon médecin traitant. J’ai arreté le raloxifène, lorsque j’ai compris c’était une molécule mimant les effets des estogènes uniquement sur les os. Je me suis tourné vers une autre gynécologue, qui m’a vanté les mérites du biphosphonate. Mais, ayant lu le livre du docteur […], j’ai décliné cette offre. Elle ne me prescris uniquement de l’estradiol par gel et de la progestérone, en gellule.
Je me porte bien. Plus de bouffées de chaleur.
Le docteur […] dénonce les médicaments comme les biphosphonates, le raloxifène …
NdR: Impossible de vérifier ce qu’il en est du médecin cité. La prudence s’impose devant tout traitement substitutif de la ménopause. Tout nom de médecin évoqué dans une visée publicitaire sera effacé, ainsi que les noms des médicaments et procédures qu’il/elle prescrit.
D’ailleurs, j’ai vu beaucoup de critiques selon lesquels parler de traitement par produits hormonaux bioidentiques revient à continuer à prescrire un traitement hormonal aux femmes ménopausées, malgré les effets indésirables nombreux et souvent très sévères, notamment la hausse des cancers du sein chez les femmes ménopausées prenant des hormones. Le terme « bioidentique » – surtout « bio » sert à endormir leur esprit critique et faire croire qu’il s’agirait de tout autre chose que le traitement substitutif tellement décrié, jouant sur l’idée que « bio » serait (proche du) « naturel », donc sans danger. C’est faux.
Beaucoup de professionnels de santé qui ont perdu une source importante de revenus à cause du scandale se repositionnent maintenant et cherchent à faire passer la pilule autrement.
La position de Pharmacritique: opposition à tout traitement hormonal de la ménopause, quel que soit l’emballage (« bio » ou autre). Ceux qui veulent en tirer profit la présentent comme une maladie; c’est un exemple parfait de disease mongering (voir les articles sur le disease mongering / façonnage de maladies), à partir de la liste alphabétique à gauche de la page).
J’aimeJ’aime
Je ne voulais absolument pas faire de publicité pour un médecin. Pour ce qui est du traitement hormonal, il s’agit simplement des hormones féminines produites, l’estradiol et la progestérone. La gynécologue canadienne que j’indique a écrit un livre « Tout ce que les femmes doivent savoir sur les hormones ».
Ce livre est préfacé par Martin Winckler.
« Préface
En matière de santé, il est souvent difficile de prendre des décisions au moment d’une consultation. Un médecin dispose d’un savoir et d’une expérience sans commune mesure avec ceux des personnes qui s’adressent à lui. Lorsqu’il ne prend pas le temps de les expliquer, le patient se sent à juste titre pris au piège et contraint de suivre des prescriptions dont il ne comprend pas toujours les motivations et la logique.
Dans un monde idéal, chaque médecin prendrait le temps d’expliquer aux patients tout ce qu’il sait sur la situation qui les concerne. Et non seulement cela mais aussi les incertitudes (il y en a au moins autant que de certitudes, dans les domaines de la médecine), les questions non résolues, les contreverses … Et commenter les derniers rebondissements médiatiques.
Pour les femmes autour de la cinquantaine, l’approche de la ménopause et l’utilidation des hormones est un cap aussi important que la première grossesse ou le choix d’une contraception. Malheureusement, sur le sujet, les livres clairs et dépassionnés n’abondent pas. Et s’il est bien quelque chose que les femmes attendent des médecins, ce sent les réponses à leurs questions. Elles en ont beaucoup, toutes légitimes, et toutes très précises. Ces questions, ce lui du Dr …. y répond. Sans sensationnalisme. Sans jugement.
Son grand mérite n’est pas de clore définitivement le débat sur les hormones féminines et leur utilisation : il ne peut y avoir de clôture en ce domaine, car chaque personne justifie une approche individuelle qui inclut ses propres choix – et ces choix peuvent évoluer avec les connaissances. Mais, cet ouvrage fait pencher ce débat du côté de l’infomation claire et par conséquent de la raison, contre les excès – d’un côté comme de l’autre.
I; donne aux femmes tous les éléments d’un choix raisonné, fondé non seulement sur des données scientifiques, mais aussi sur des éléments de bon sens. Or, en matière des santé, c’est souvent le bon sens qui fait défaut, aussi bien du côté de ceux qui rejettent le traitement hormonal de la ménopause que du côté de ceux qui voudraient en faire la norme.
Science et bon sens. C’est tout ce dont les femmes ont besoin pour prendre leur vie en main.
Martin Winckler. »
Je ne suis pas une femme qui se laisse piéger par le mot « bio ». Je ne lis aucune presse féminine. J’essaie de garder l’esprit critique et de ne pas tout rejeter sous prétexte que c’est une hormone. Depuis que je suis sous traitement, je ne ressens plus de bouffées de chaleur qui me rendaient la vie impossible. Ces bouffées de chaleur que ressentent beaucoup de femmes ne sont pas un façonnage de maladies.
J’aimeJ’aime
Ostéoporose ? Ne faites rien : elle est déjà là !
Merci pour vos propositions !
J’aimeJ’aime
Bonjour,
Mon père est atteint d’ostéoporose avérée depuis au moins 3 ans. Il a aujourd’hui 77 ans. Il a pris de l’acide alendronique pendant 1 an. Les effets secondaires furent très importants : perte de repères dans l’espace, dans le temps, agressivité, … Il a cessé de prendre ce traitement il y a un an environ, mais il garde apparemment des séquelles puisqu’il est toujours agressif surtout avec ma mère. Il a fait des recherches il y a quelques mois sur l’ostéoporose masculine et il peine à trouver des informations même au niveau mondial car cette pathologie reste moindre par rapport à l’ostéoporose féminine. Maladies rares = peu de bénéfices pour les labo = peu ou pas de recherche !
Mon père est suivi à Brest par un rhumatologue qui doit lui proposer un nouveau traitement sans évidemment d’acide alendronique. Il prend régulièrement de la vitamine D, ma mère veille à son alimentation et il garde une activité physique modérée.
Mon père est mince depuis toujours, il fume modérément, consomme de l’alcool de façon raisonnable, il n’a pas de diabète, pas d’hyperthyroïdie, …
Avez-vous des informations précises sur l’ostéoporose masculine ? En combien de temps le corps évacue t’il totalement les molécules de l’acide alendronique ? Peut-il y avoir des séquelles à vie ? Si oui, que faire ? Quelles sont les personnes spécialisées dans cette pathologie ? Dr Karine Briot en France est-elle fiable ? Où en sont les recherches ?
Merci beaucoup pour vos articles, cela aide beaucoup les patients et leur entourage. Et merci d’avance de votre aide.
[NdR: Nom de famille effacé, par prudence, s’agissant de données de santé. Un prénom suffit sur internet]
J’aimeJ’aime
j’ai pris des medicament forxamax depuis 1997 juqua 2016. d’ailleur des douleur de la machoire depuis longtemps. en attentevotre reponse.merci
J’aimeJ’aime
En réponse à Madame ou Monsieur Kebli
Bonjour,
Il n’y a pas de réponse possible à donner de façon générale et sans connaître votre dossier médical et savoir ce qu’il en est. Mais attention, car cela ne doit pas se faire sur internet, puisqu’il s’agit de données personnelles. Et je ne suis pas médecin, d’ailleurs.
Les douleurs à la mâchoire peuvent avoir diverses causes, sans rapport avec une prise de bisphosphonates. Et puis, de tels effets indésirables graves sont quand même rares, donc il ne faut pas systématiquement penser que vous souffrez d’un des effets secondaires décrits ici.
Il faut voir un médecin et lui parler de tout cela. Et un dentiste aussi. Qu’ils vous examinent et demandent éventuellement un examen complémentaire.
Si vous pensez au risque d’ostéonécrose de la mâchoire, d’après ce que j’ai lu, c’est surtout après des travaux dentaires qu’un tel problème apparaît. Un examen de votre bouche, de vos dents et mâchoires, par un chirurgien-dentiste est donc essentiel.
En tous cas, lorsque vous allez voir un dentiste pour quelque chose comme une extraction dentaire ou un travail plus important, il faut préciser systématiquement que vous avez pris du Fosamax pendant longtemps.
Voici des liens vers deux articles de la série que j’ai postée sur les effets indésirables du Fosamax et des autres médicaments de la même classe. Les données chiffrées sur la fréquence de la nécrose de la mâchoire ont peut-être évolué entre-temps, puisque ces articles sont assez anciens. La description reste évidemment valable.
Bon courage!
Cordialement,
Elena Pasca / Pharmacritique
http://pharmacritique.20minutes-blogs.fr/archive/2009/08/14/le-fosamax-de-merck-devant-la-justice-americaine-pour-pres-d.html
http://pharmacritique.20minutes-blogs.fr/archive/2009/01/19/osteonecrose-de-la-machoire-plus-frequente-que-prevue-sous-f.html
J’aimeJ’aime